 
        
        
      
    
    Before and After Images
Transform Your Smile, Transform Your Life!
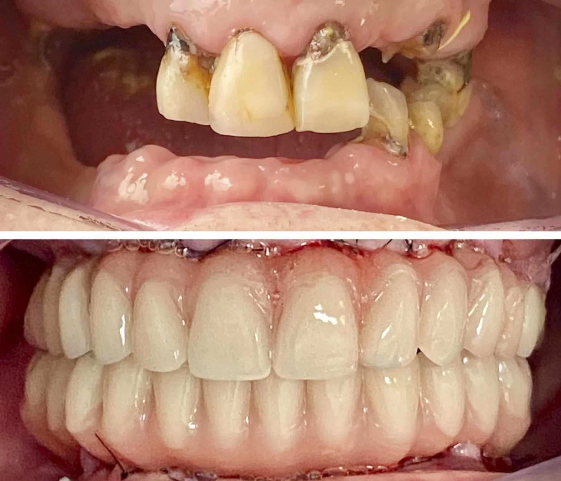
These images capture the essence of newfound joy, renewed self-esteem, and the limitless possibilities that an improved smile can bring.
 
        
        
      
    
    These images capture the essence of newfound joy, renewed self-esteem, and the limitless possibilities that an improved smile can bring.
 
            
              
            
            
          
              